Patient Testimonial

Source: Google Business Profile

Verified Review

Skip to main content

Full Mouth Rehabilitation in Hoodi

Searching for the best full mouth rehabilitation near Hoodi? LorVen Elite Dental offers advanced microscopic precision and specialist care for Hoodi residents.

Service Overview

At LorVen Elite Dental, we provide premium Full Mouth Rehabilitation utilizing state-of-the-art dental microscopes. This ensures high accuracy, minimal discomfort, and faster recovery for our patients traveling from Hoodi.

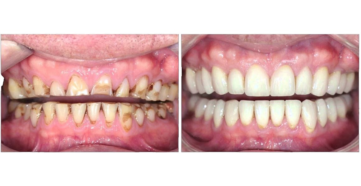
Full mouth rehabilitation is a comprehensive dental treatment that addresses multiple dental issues affecting the teeth, gums, and bite. It typically involves a combination of restorative procedures such as crowns, bridges, implants, and veneers. The goal is to restore both functionality and aesthetics, providing a healthy and balanced bite. This treatment is often customized to the patient’s specific needs and may involve collaboration with various dental specialists. Full mouth rehabilitation is ideal for those with extensive tooth wear, damage, or loss due to decay, trauma, or gum disease, as well as for those seeking cosmetic improvements.

Why residents of Hoodi choose us?

  • Microscopic Precision: 20x magnification for superior treatment outcomes.
  • MDS Specialists: All treatments handled by expert specialists, not generalists.
  • Proximity: Just 10 mins from Hoodi from your location.

Common Questions

How far is LorVen Elite Dental from Hoodi?

We are located just 10 mins from Hoodi. Our clinic is a popular choice for patients from Hoodi seeking microscopic precision treatments.

Do you offer microscopic full mouth rehabilitation?

Yes, LorVen Elite Dental is one of the few clinics in Bangalore specializing in microscopic dentistry. This ensures 20x magnification for your full mouth rehabilitation.

Complete Full Mouth Rehabilitation Guide

Visit our main expertise page for deep technical insights, procedure details, and clinical benefits.

View Full Service Profile