Patient Testimonial

Source: Google Business Profile

Verified Review

Skip to main content

Gum Depigmentation in Whitefield

Searching for the best gum depigmentation near Whitefield? LorVen Elite Dental offers advanced microscopic precision and specialist care for Whitefield residents.

Service Overview

At LorVen Elite Dental, we provide premium Gum Depigmentation utilizing state-of-the-art dental microscopes. This ensures high accuracy, minimal discomfort, and faster recovery for our patients traveling from Whitefield.

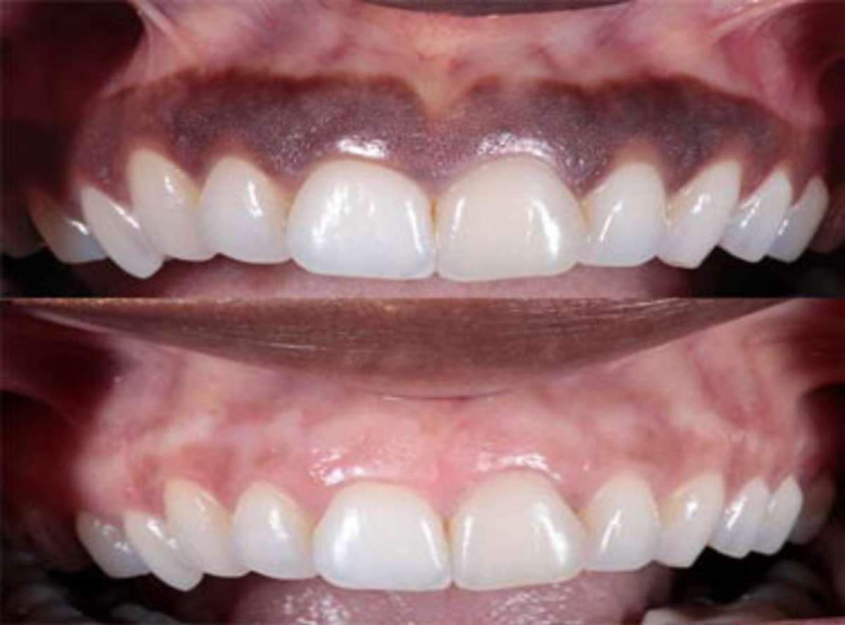
Gum depigmentation, or gingival depigmentation, is a cosmetic procedure aimed at removing or lightening dark pigmentation in the gums, often caused by melanin. While melanin pigmentation is harmless, it can affect a person’s confidence if they feel self-conscious about dark-coloured gums, particularly when it contrasts with bright teeth. Gum depigmentation provides a safe and effective way to enhance the appearance of a child’s smile, often using gentle techniques such as laser treatment or surgical scraping. The procedure is safe and tailored to young patients, ensuring comfort and quick healing.

Why residents of Whitefield choose us?

  • Microscopic Precision: 20x magnification for superior treatment outcomes.
  • MDS Specialists: All treatments handled by expert specialists, not generalists.
  • Proximity: Just 12-15 mins from ITPL from your location.

Common Questions

How far is LorVen Elite Dental from Whitefield?

We are located just 12-15 mins from ITPL. Our clinic is a popular choice for patients from Whitefield seeking microscopic precision treatments.

Do you offer microscopic gum depigmentation?

Yes, LorVen Elite Dental is one of the few clinics in Bangalore specializing in microscopic dentistry. This ensures 20x magnification for your gum depigmentation.

Complete Gum Depigmentation Guide

Visit our main expertise page for deep technical insights, procedure details, and clinical benefits.

View Full Service Profile